Orthopedic Surgery Services
Expert Orthopedic Care specializing in Hip, Knee, and Hand Surgeries for optimal recovery.
Hip Surgery Solutions


Total Hip Replacement
Hip Fracture Surgery
Hip Preservation Surgery




Knee Surgery Expertise
Knee Preservation Surgery
Cartilage Transplant Surgery
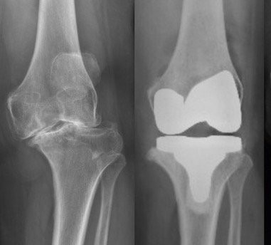
Total Knee Replacement Surgery
ACL,PCL,Meniscus Arthroscopic Recostruction
Knee Fracture Surgery
Knee Deformity Correction
Osteoarthritis And Rheumatoid Arthritis
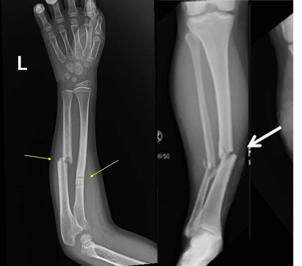
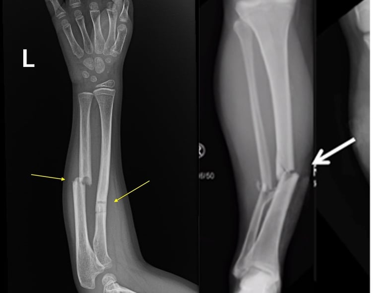
Wrist And Hand Fractures
Tennis Elbow Management
Trigger Finger Injections And Release
TFCC Repair
Specialized Hand Surgery Services






Fracture Care
Xray Services
Plaster Treatment
Chronic Pain Management
Intraarticular Injections of the Knee,Ankle,Shoulder And Elbow.
Physiotherapy.
Low Back Pain And Neck Pain
General Orthopedic Problems
Ankle,Heel And Foot Pain
Frozen Shoulder Pain
Rotater Cuff Tear Shoulder Stiffness
Tingling Numbness In Hand And Feet
Sciatica Management.


Deformity correction of knee and elbow
Surgical Expertise
Providing specialized orthopedic care for hip, knee, and hand.


Joint Replacement Surgery
Hip,Knee,Shoulder Joint for Severe Arthritis Treatment


Arthroscopic Keyhole Surgery
For Knee and Shoulder Ligament Tear having advantage of no stitches thus leading to early recovery and walking




Fracture Fixation Surgery
With Plates,Screws,Nails And Wires
Ligament Reconstruction Surgery
Ligament repair with natural as well as artificial grafts



